010-80117836
276385203@qq.com |
| |
|
|
|
| GSDMD N-terminal Rabbit pAb |
📄 生成PDF
|
| Gsdmdc1, Gsdmd, Gasdermin-D, Gasdermin domain-containing protein 1 |
|
| |
| Cat#: TDYT7991 | Source#: Rabbit | Type#: Polyclonal | |
 |
| Applications: WB,IHC,IF |
|
Reactivity: H,M,R |
| MW.(KDa): 36,55 |
Isotype: IgG |
|
| GSDMD also known as gasdermin D is a protein known for its role in pyroptosis a form of programmed cell death. Its molecular weight is approximately 53 kDa. Mechanically GSDMD operates by forming pores in cell membranes. These pores disrupt cellular homeostasis and eventually lead to cell lysis. GSDMD is mainly expressed in immune cells including macrophages and neutrophils. Researchers frequently use GSDMD Western blot and GSDMD ELISA for its detection and quantification in various studies. |
|
|
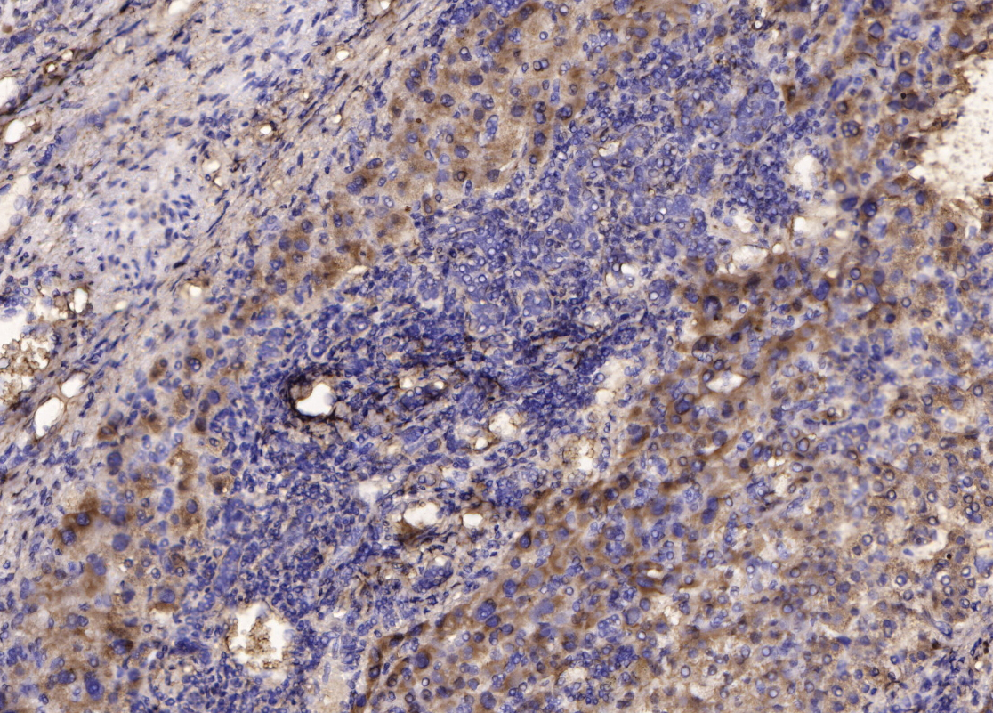
| Immunohistochemistry |

Immunohistochemical analysis of para?n-embedded human Moderately di?erentiated hepatocellular carcinoma Antibody was diluted at 1:200(4° overnight).
|
|
| |
|
| Source |
Synthesized peptide derived from human GSDMD. AA range:1-100
|
| Specificity |
The antibody detects endogenous full lenth and n-ternal fragment of gsdmd protein,
|
| Storage |
Store at -20°C. Stable for one year from the date of shipment.
|
| Concentration |
1mg/ml in PBS, pH 7.4, containing 0.02% sodium azide and 50% glycerol.
|
| Dilutions |
WB 1:1,000-3,000; IHC 1:50-300; IF 1:50-200;
(Optimal dilutions should be determined by the end user)
|
|
| |
|
| Gsdmdc1, Gsdmd, Gasdermin-D, Gasdermin domain-containing protein 1 |
| |
|
|
|
|
| Size: |
50μL ¥1000 100μL ¥1800 |
|
| New Product: |
|
|
|
| 直接下单: |
|
立即下单
|
|
|
| |
|