010-80117836
276385203@qq.com |
| |
|
|
|
| CD7 Rabbit pAb |
📄 生成PDF
|
| T-cell antigen CD7, GP40, T-cell leukemia antigen, T-cell surface antigen Leu-9, TP41 |
|
| |
| Cat#: TDYT5242 | Source#: Rabbit | Type#: Polyclonal | |
 |
| Applications: WB,IHC,IF,ELISA |
|
Reactivity: H,M |
| MW.(KDa): 25 |
Isotype: IgG |
|
| This gene encodes a transmembrane protein which is a member of the immunoglobulin superfamily. This protein is found on thymocytes and mature T cells. It plays an essential role in T-cell interactions and also in T-cell/B-cell interaction during early lymphoid development. [provided by RefSeq, Jul 2008]. |
|
|
| Western Blot |

Western Blot analysis of K562 cells using CD7 Polyclonal Antibody.
|
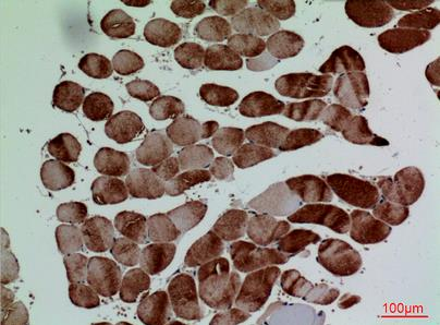
| Immunohistochemistry |

Immunohistochemical analysis of para?n-embedded human-muscle, antibody was diluted at 1:100
|
| Immunohistochemistry |

Immunohistochemical analysis of para?n-embedded human-liver, antibody was diluted at 1:100
|
|
| |
|
| Source |
The antiserum was produced against synthesized peptide derived from the Internal region of human CD7. AA range:51-100
|
| Specificity |
CD7 Polyclonal Antibody detects endogenous levels of CD7 protein.
|
| Storage |
Store at -20℃. Stable for one year from the date of shipment.
|
| Concentration |
1mg/ml in PBS, pH 7.4, containing 0.02% sodium azide and 50% glycerol.
|
| Dilutions |
WB 1:500-2,000 IHC 1:100-300 ELISA 1:20,000 IF 1:50-200
(Optimal dilutions should be determined by the end user)
|
|
| |
|
| T-cell antigen CD7, GP40, T-cell leukemia antigen, T-cell surface antigen Leu-9, TP41 |
| |
|
|
|
|
| Size: |
50μL ¥1000 100μL ¥1800 |
|
| New Product: |
|
|
|
| 直接下单: |
|
立即下单
|
|
|
| |
|