| Cat#: TDYT0559 | Source#: Rabbit | Type#: Polyclonal | |
 |
| Applications: WB,IHC,IF,ELISA |
|
Reactivity: H,M |
| MW.(KDa): 120 |
Isotype: IgG |
|
| This gene belongs to the CEBP family. The encoded protein plays a role in cellular response to environmental stimuli through a transcriptional process that involves heat shock factors, conserved DNA elements (heat shock elements or HSEs) and CCAAT boxes. The protein acts as a DNA-binding transcriptional activator and regulates the heat-shock protein 70 (HSP70) promoter in a CCAAT-dependent manner. The protein is also involved in cell growth and differentiation, particularly, hematopoietic differentiation. Methylation of the promoter of this gene or mutations within the gene may be correlated with occurance of acute myeloid leukemia (AML). [provided by RefSeq, Jun 2016], |
|
|
| Western Blot |

Western Blot analysis of various cells using C/EBP ζ Polyclonal Antibody cells
|
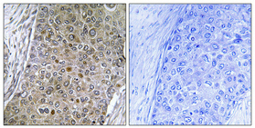
| Immunohistochemistry |

Immunohistochemical analysis of paraffin-embedded Human breast cancer.
|
| Western Blot |

Western blot analysis of lysates from COLO cells, using CEBPZ Antibody
|
|
| |
|
| Source |
The antiserum was produced against synthesized peptide derived from human CEBPZ. AA range:1-50
|
| Specificity |
C/EBP ζ Polyclonal Antibody detects endogenous levels of C/EBP ζ protein.
|
| Storage |
Store at -20°C. Stable for one year from the date of shipment.
|
| Concentration |
1mg/ml in PBS, pH 7.4, containing 0.02% sodium azide and 50% glycerol.
|
| Dilutions |
WB 1:500-2,000; IHC 1:100-300; IF 1:200-1000; ELISA 1:20,000
(Optimal dilutions should be determined by the end user)
|
|
| |
|
| CEBPZ ; CBF2 ; CCAAT/enhancer-binding protein zeta ; CCAAT-box-binding transcription factor ; CBF ; CCAAT-binding factor |
| |
|
|
|
|
| Size: |
50μL ¥1000 100μL ¥1800 |
|
| New Product: |
|
|
|
| 直接下单: |
|
立即下单
|
|