| Cat#: TDY1113 | Source#: Mouse | Type#: Monoclonal | |
 |
| Applications: WB |
|
Reactivity: H,M,R |
| MW.(KDa): 70,90 |
Isotype: IgG1 |
|
| Acts as a cofactor for XPO1/CRM1-mediated nuclear export, perhaps as export complex scaffolding protein. Bound to XPO1/CRM1, stabilizes the XPO1/CRM1-cargo interaction. In the absence of Ran-bound GTP prevents binding of XPO1/CRM1 to the nuclear pore complex. Binds to CHC1/RCC1 and increases the guanine nucleotide exchange activity of CHC1/RCC1. Recruits XPO1/CRM1 to CHC1/RCC1 in a Ran-dependent manner. Negative regulator of TGF-beta signaling through interaction with the R-SMAD proteins, SMAD2 and SMAD3, and mediating their nuclear export. |
|
|
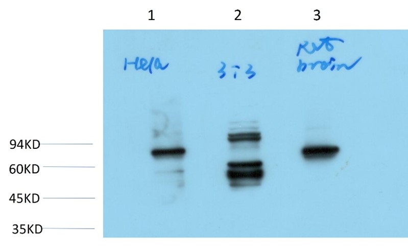
| Western Blot |

Western blot analysis of 1)Hela Cell, 2) 3T3 Cell, 3) Rat Brain Tissue Lysate using RanbP3(TDY1113)Mouse Monoclonal Antibody diluted at 1:2,000.
|
|
| |
|
| Source |
Mouse Monoclonal antibody is prepared by immunizing Recombinant Protein.
|
| Specificity |
Antibody can detects endogenous RanBP3 protein.
|
| Storage |
Store at -20°C. Stable for one year from the date of shipment.
|
| Concentration |
1mg/ml in PBS, pH 7.4, containing 0.02% sodium azide and 50% glycerol.
|
| Dilutions |
WB: 1:1,000-2,000
(Optimal dilutions should be determined by the end user)
|
|
| |
|
|
|
|
| Size: |
50μL ¥1000 100μL ¥1800 |
|
| New Product: |
|
|
|
| 直接下单: |
|
立即下单
|
|