| Cat#: TDY1119 | Source#: Rabbit | Type#: Polyclonal | |
 |
| Applications: WB |
|
Reactivity: H,M,R |
| MW.(KDa): 45-48 |
Isotype: IgG |
|
| Dioxygenase that specifically demethylates N6-methyladenosine (m6A) RNA, the most prevalent internal modification of messenger RNA (mRNA) in higher eukaryotes (PubMed:23177736, PubMed:24489119, PubMed:24616105, PubMed:24778178, PubMed:34048572, PubMed:36944332, PubMed:37257451, PubMed:37369679).
Demethylates RNA by oxidative demethylation, which requires molecular oxygen, alpha-ketoglutarate and iron (PubMed:21264265, PubMed:23177736, PubMed:24489119, PubMed:24616105, PubMed:24778178).
|
|
|
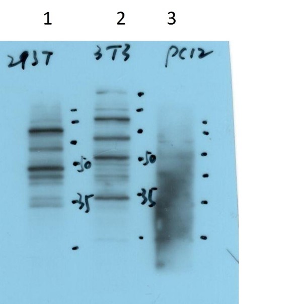
| Western Blot |

Western blot analysis of 1)293T Cell, 2) 3T3 Cell, 3) PC12 Cell Lysate using ALKBH5(TDY1119)Rabbit Polyclonal Antibody diluted at 1:2,000.
|
|
| |
|
| Source |
Rabbit Polyclonal antibody is prepared by immunizing Recombinant Protein.
|
| Specificity |
Antibody can detects endogenous ALKBH5 protein.
|
| Storage |
Store at -20°C. Stable for one year from the date of shipment.
|
| Concentration |
1mg/ml in PBS, pH 7.4, containing 0.02% sodium azide and 50% glycerol.
|
| Dilutions |
WB: 1:2,000-5,000
(Optimal dilutions should be determined by the end user)
|
|
| |
|
|
|
|
| Size: |
50μL ¥1000 100μL ¥1800 |
|
| New Product: |
|
|
|
| 直接下单: |
|
立即下单
|
|