| Cat#: TR8000 | Source#: Rabbit | Type#: Monoclonal | |
 |
| Applications: WB,IHC-P,IF-P,IF-F,IF-ICC,IP,ELISA |
|
Reactivity: Human,Mouse,Rat |
| MW.(KDa): 60kDa |
Isotype: IgG, Kappa |
|
| beclin 1(BECN1) Homo sapiens This gene encodes a protein that regulates autophagy, a catabolic process of degradation induced by starvation. The encoded protein is a component of the phosphatidylinositol-3-kinase (PI3K) complex which mediates vesicle-trafficking processes. This protein is thought to play a role in multiple cellular processes, including tumorigenesis, neurodegeneration and apoptosis. Alternative splicing results in multiple transcript variants. [provided by RefSeq, Sep 2015], |
|
|
| Western Blot |

Western blot analysis of lysates from Hela cells, using Beclin 1 Rabbit mAb. The HRP-conjugated Goat anti-Rabbit IgG antibody was used to detect the antibody.
|
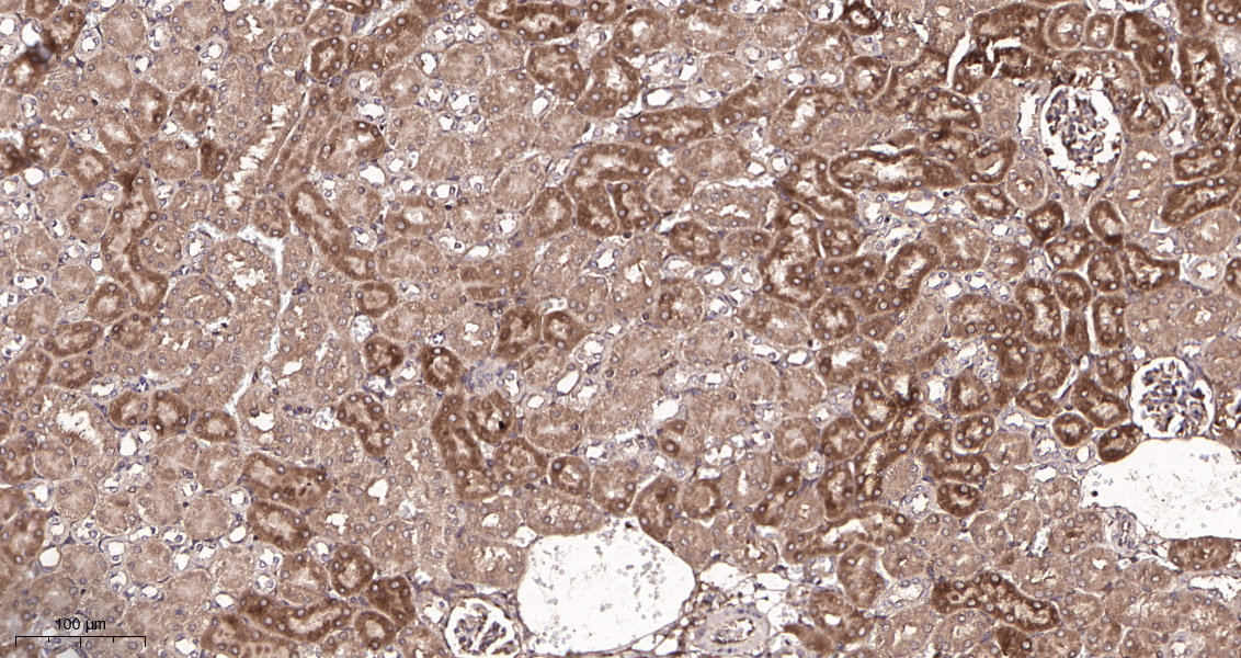
| Immunohistochemistry |

Immunohistochemical analysis of paraffin-embedded Mouse kidney tissue. 1, primary Antibody was diluted at 1:200(4℃,overnight). 2, EDTA pH 9.0 was used for antibody retrieval(>98℃,20min). 3,Secondary antibody was diluted at 1:200(room tempeRature, 30min).
|
|
| |
|
|
| Storage |
Store at -20°C. Stable for one year from the date of shipment.
|
| Concentration |
1mg/ml in PBS, pH 7.4, containing 0.02% sodium azide and 50% glycerol.
|
| Dilutions |
IHC-P 1:200-1:1000, WB 1:2000-1:10000, IF-P/IF-F/IF-ICC 1:200-1:1000, ELISA 1:5000-1:20000, IP 1:50-1:200
(Optimal dilutions should be determined by the end user)
|
|
| |
|
| Beclin-1 (Coiled-coil myosin-like BCL2-interacting protein) (Protein GT197);GT197 |
| |
|
|
|
|
| Size: |
50μL ¥1300 100μL ¥2300 |
|
| New Product: |
|
|
|
| 直接下单: |
|
立即下单
|
|