| Cat#: TR8019 | Source#: Rabbit | Type#: Monoclonal | |
 |
| Applications: WB,IHC-P,IF-P,IF-F,IF-ICC,ELISA |
|
Reactivity: Human,Mouse,Rat |
| MW.(KDa): 25kDa |
Isotype: IgG, Kappa |
|
| high mobility group box 1(HMGB1) Homo sapiens This gene encodes a protein that belongs to the High Mobility Group-box superfamily. The encoded non-histone, nuclear DNA-binding protein regulates transcription, and is involved in organization of DNA. This protein plays a role in several cellular processes, including inflammation, cell differentiation and tumor cell migration. Multiple pseudogenes of this gene have been identified. Alternative splicing results in multiple transcript variants that encode the same protein. [provided by RefSeq, Sep 2015], |
|
|
| Western Blot |

Western blot analysis of lysates from Hela cells, using HMGB1 Rabbit mAb. The HRP-conjugated Goat anti-Rabbit IgG antibody was used to detect the antibody.
|
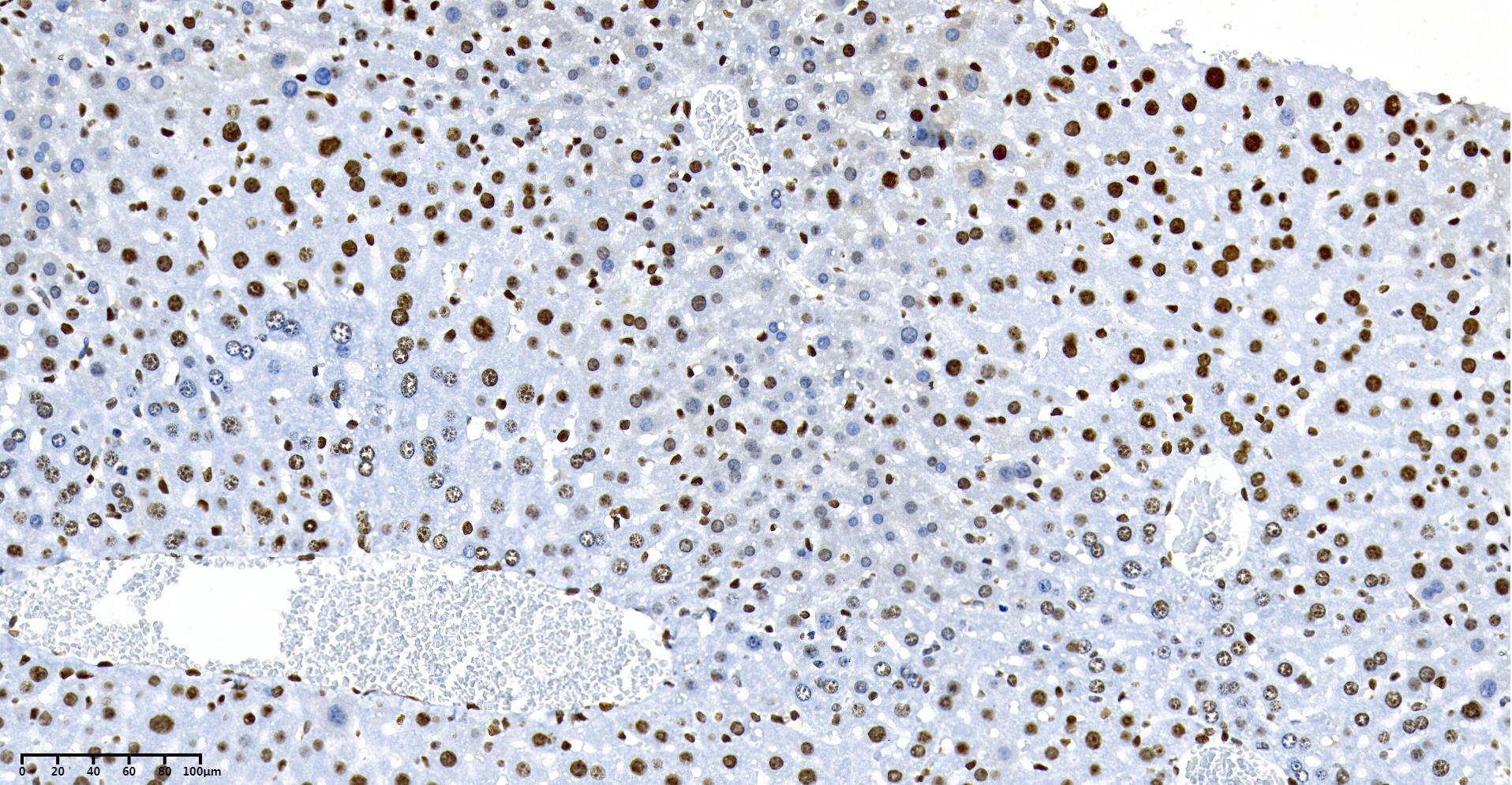
| Immunohistochemistry |

Mouse_liver
|
|
| |
|
|
| Storage |
Store at -20°C. Stable for one year from the date of shipment. |
| Concentration |
1mg/ml in PBS, pH 7.4, containing 0.02% sodium azide and 50% glycerol. |
| Dilutions |
IHC-P 1:2000-1:10000, WB 1:5000-1:10000, IF-P/IF-F/IF-ICC 1:200-1:1000, ELISA 1:5000-1:20000
(Optimal dilutions should be determined by the end user)
|
|
| |
|
| High mobility group protein B1 (High mobility group protein 1) (HMG-1);HMG1 |
| |
|
|
|
|
| Size: |
50μL ¥1300 100μL ¥2300 |
|
| New Product: |
|
|
|
| 直接下单: |
|
立即下单
|
|