| Cat#: TR8050 | Source#: Rabbit | Type#: Monoclonal | |
 |
| Applications: WB,IHC-P,IF-P,IF-F,IF-ICC,ELISA |
|
Reactivity: Human,Mouse,Rat |
| MW.(KDa): 26kDa |
Isotype: IgG, Kappa |
|
| BCL2, apoptosis regulator(BCL2) Homo sapiens This gene encodes an integral outer mitochondrial membrane protein that blocks the apoptotic death of some cells such as lymphocytes. Constitutive expression of BCL2, such as in the case of translocation of BCL2 to Ig heavy chain locus, is thought to be the cause of follicular lymphoma. Alternative splicing results in multiple transcript variants. [provided by RefSeq, Feb 2016], |
|
|
| Western Blot |

Western blot analysis of lysates from MCF7 cells, using Bcl-2 Rabbit mAb. The HRP-conjugated Goat anti-Rabbit IgG antibody was used to detect the antibody.
|
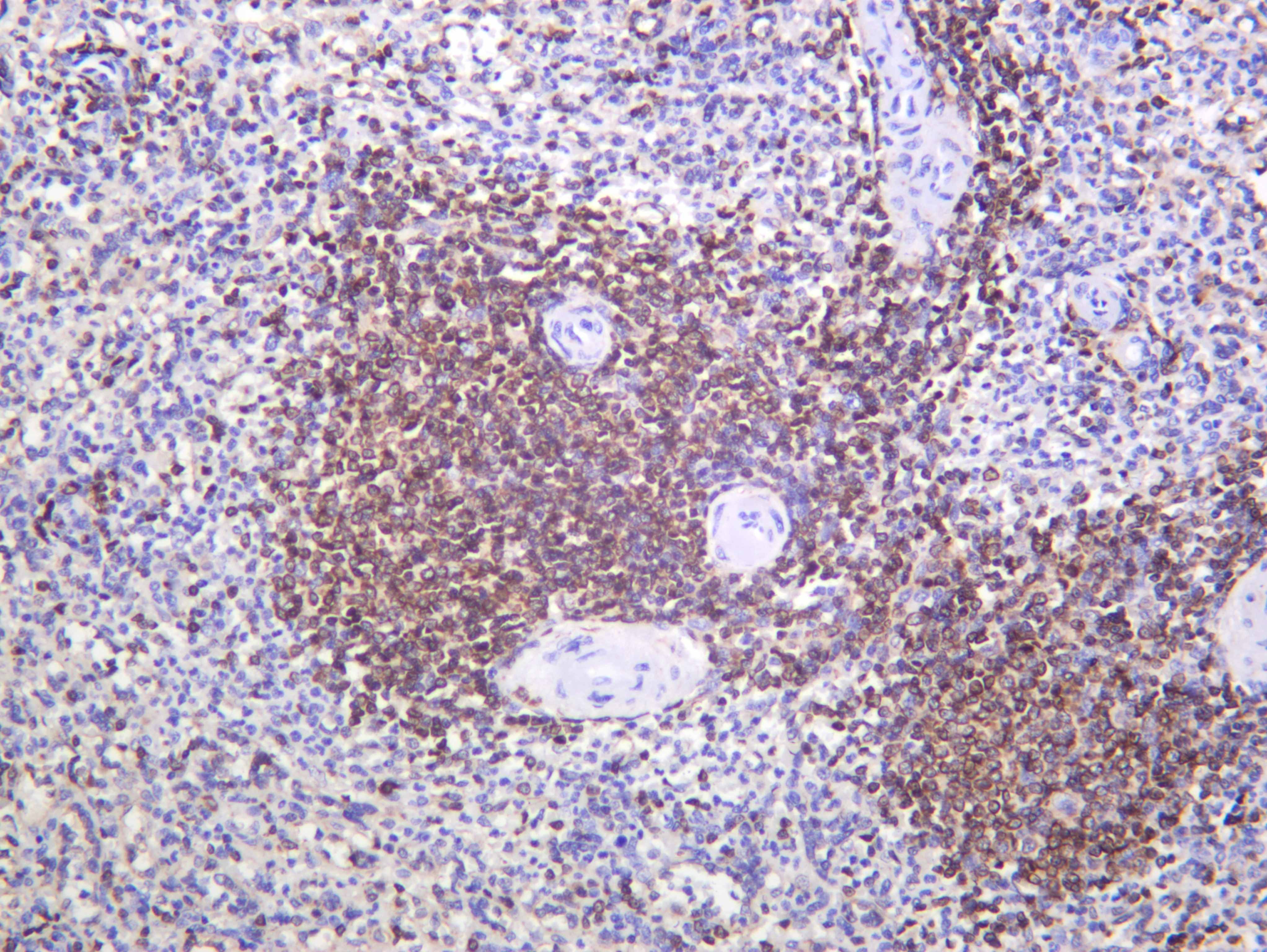
| Immunohistochemistry |

Immunohistochemical analysis of paraffin-embedded Human spleen
|
|
| |
|
|
| Storage |
Store at -20°C. Stable for one year from the date of shipment. |
| Concentration |
1mg/ml in PBS, pH 7.4, containing 0.02% sodium azide and 50% glycerol. |
| Dilutions |
IHC-P 1:500-1:2000, WB 1:2000-1:10000, IF-P/IF-F/IF-ICC 1:200-1:1000, ELISA 1:5000-1:20000
(Optimal dilutions should be determined by the end user)
|
|
| |
|
| BCL2;Apoptosis regulator Bcl-2 |
| |
|
|
|
|
| Size: |
50μL ¥1300 100μL ¥2300 |
|
| New Product: |
|
|
|
| 直接下单: |
|
立即下单
|
|