| Cat#: TR8068 | Source#: Rabbit | Type#: Monoclonal | |
 |
| Applications: WB,IHC-P,IF-P,IF-F,IF-ICC,IP,ELISA |
|
Reactivity: Human,Mouse,Rat |
| MW.(KDa): 96kDa |
Isotype: IgG, Kappa |
|
| The protein encoded by this gene is part of a complex of proteins that constitute adherens junctions (AJs). AJs are necessary for the creation and maintenance of epithelial cell layers by regulating cell growth and adhesion between cells. The encoded protein also anchors the actin cytoskeleton and may be responsible for transmitting the contact inhibition signal that causes cells to stop dividing once the epithelial sheet is complete. Finally, this protein binds to the product of the APC gene, which is mutated in adenomatous polyposis of the colon. Mutations in this gene are a cause of colorectal cancer (CRC), pilomatrixoma (PTR), medulloblastoma (MDB), and ovarian cancer. Alternative splicing results in multiple transcript variants. [provided by RefSeq, Aug 2016], |
|
|
| Western Blot |

Western blot analysis of lysates from HCT116 cells, using β Catenin Rabbit mAb. The HRP-conjugated Goat anti-Rabbit IgG antibody was used to detect the antibody.
|
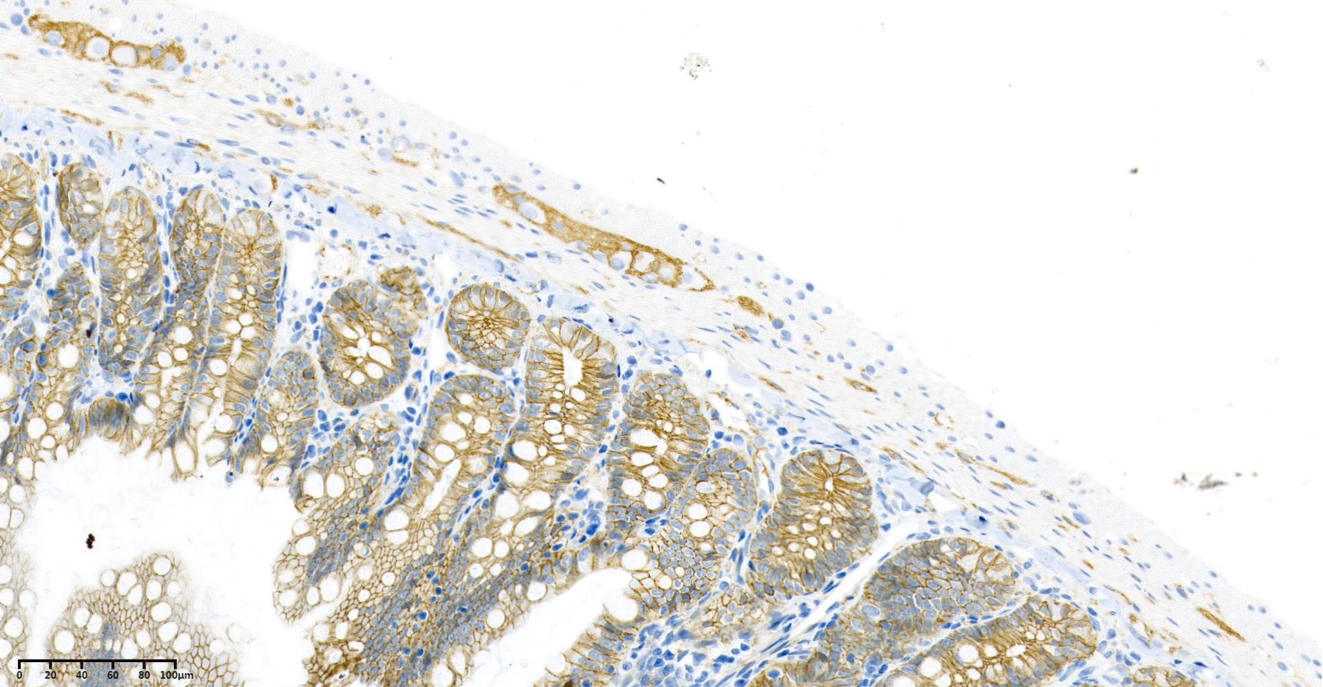
| Immunohistochemistry |

Rat_jejunum
|
|
| |
|
|
| Storage |
Store at -20°C. Stable for one year from the date of shipment. |
| Concentration |
1mg/ml in PBS, pH 7.4, containing 0.02% sodium azide and 50% glycerol. |
| Dilutions |
IHC-P 1:1000-1:5000, WB 1:1000-1:5000, IF-P/IF-F/IF-ICC 1:200-1:1000, ELISA 1:5000-1:20000, IP 1:50-1:200
(Optimal dilutions should be determined by the end user)
|
|
| |
|
| CTNNB1;CTNNB;OK/SW-cl.35;Catenin beta-1;Beta-catenin;CTNNB;OK/SW-cl.35;PRO2286 |
| |
|
|
|
|
| Size: |
50μL ¥1300 100μL ¥2300 |
|
| New Product: |
|
|
|
| 直接下单: |
|
立即下单
|
|