| Cat#: TR8077 | Source#: Rabbit | Type#: Monoclonal | |
 |
| Applications: WB,IHC-P,IF-P,IF-F,IF-ICC,ELISA |
|
Reactivity: Human,Mouse,Rat |
| MW.(KDa): 130kDa |
Isotype: IgG, Kappa |
|
| platelet and endothelial cell adhesion molecule 1(PECAM1) Homo sapiens The protein encoded by this gene is found on the surface of platelets, monocytes, neutrophils, and some types of T-cells, and makes up a large portion of endothelial cell intercellular junctions. The encoded protein is a member of the immunoglobulin superfamily and is likely involved in leukocyte migration, angiogenesis, and integrin activation. [provided by RefSeq, May 2010], |
|
|
| Western Blot |

Western blot analysis of lysates from HepG2 cells, using CD31 Rabbit mAb. The HRP-conjugated Goat anti-Rabbit IgG antibody was used to detect the antibody.
|
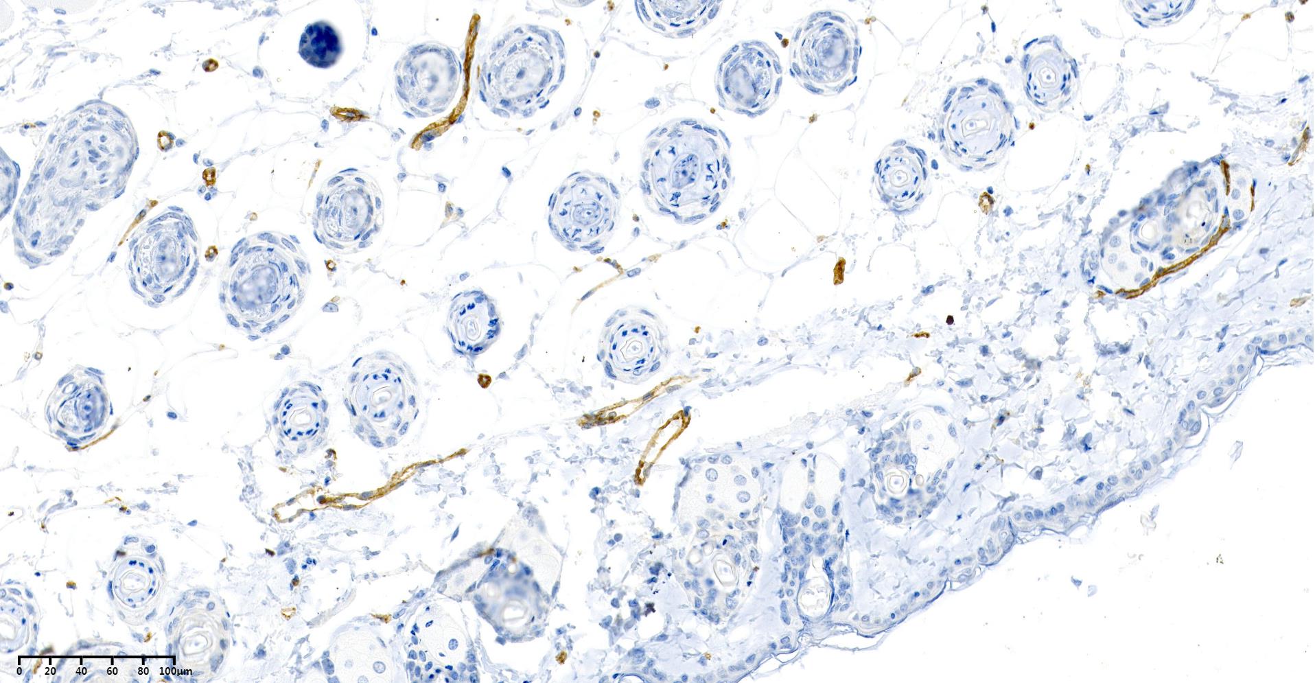
| Immunohistochemistry |

Mouse_skin
|
|
| |
|
|
| Storage |
Store at -20°C. Stable for one year from the date of shipment. |
| Concentration |
1mg/ml in PBS, pH 7.4, containing 0.02% sodium azide and 50% glycerol. |
| Dilutions |
IHC-P 1:1000-1:2000, WB 1:1000-1:5000, IF-P/IF-F/IF-ICC 1:200-1:1000, ELISA 1:5000-1:20000
(Optimal dilutions should be determined by the end user)
|
|
| |
|
| Platelet endothelial cell adhesion molecule (PECAM-1) (EndoCAM) (GPIIA') (PECA1) (CD antigen CD31) |
| |
|
|
|
|
| Size: |
50μL ¥1300 100μL ¥2300 |
|
| New Product: |
|
|
|
| 直接下单: |
|
立即下单
|
|