| Cat#: TM4672 | Source#: Mouse | Type#: Monoclonal | |
 |
| Applications: WB,IF,ELISA |
|
Reactivity: H,M,R |
| MW.(KDa): 220(Calculated);285(Observed) |
Isotype: IgG2a,Kappa |
|
| This gene encodes fibronectin, a glycoprotein present in a soluble dimeric form in plasma, and in a dimeric or multimeric form at the cell surface and in extracellular matrix. The encoded preproprotein is proteolytically processed to generate the mature protein. Fibronectin is involved in cell adhesion and migration processes including embryogenesis, wound healing, blood coagulation, host defense, and metastasis. The gene has three regions subject to alternative splicing, with the potential to produce 20 different transcript variants, at least one of which encodes an isoform that undergoes proteolytic processing. The full-length nature of some variants has not been determined. |
|
|
| Western Blot |

Whole cell lysates were separated by 6% SDS-PAGE, and the membrane was blotted with anti-Fibronectin antibody.
|
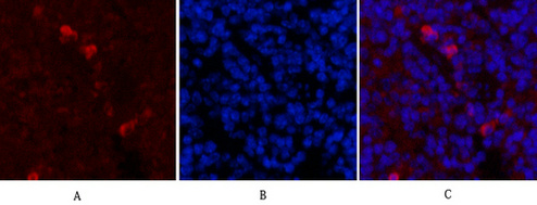
| Immunofluorescence |

Immuno?uorescence analysis of Mouse-spleen tissue. 1,Fibronectin Monoclonal Antibody(red).2, Cy3 labled Secondary antibody .3, Picture B: DAPI(blue) .Picture C: merge of A+B
|
|
| |
|
| Source |
Synthesized peptide derived from human protein.AA range:2400-2477 |
| Specificity |
This antibody detects endogenous levels of Fibronectin. |
| Storage |
Store at -20°C. Stable for one year from the date of shipment. |
| Concentration |
1mg/ml in PBS, pH 7.4, containing 0.02% sodium azide and 50% glycerol. |
| Dilutions |
WB 1:500-2,000; IF 1:100-500; ELISA 1:1,000 -5,000
(Optimal dilutions should be determined by the end user)
|
|
| |
|
| FN1 ; FN ; Fibronectin ; FN ; Cold-insoluble globulin ; CIG |
| |
|
|
|
|
| Size: |
50μL ¥1000 100μL ¥1800 |
|
| New Product: |
|
|
|
| 直接下单: |
|
立即下单
|
|