| Cat#: TM4921 | Source#: Mouse | Type#: Monoclonal | |
 |
| Applications: WB,IHC,IF,ELISA |
|
Reactivity: H |
| MW.(KDa): 20 |
Isotype: IgG1,kappa |
|
|
Tight junctions represent one mode of cell-to-cell adhesion in epithelial or endothelial cell sheets, forming continuous seals around cells and serving as a physical barrier to prevent solutes and water from passing freely through the paracellular space. These junctions are comprised of sets of continuous networking strands in the outwardly facing cytoplasmic leaflet, with complementary grooves in the inwardly facing extracytoplasmic leaflet. The protein encoded by this intronless gene, a member of the claudin family, is an integral membrane protein and a component of tight junction strands. It is also a low-affinity receptor for Clostridium perfringens enterotoxin, and shares aa sequence similarity with a putative apoptosis-related protein found in rat. |
|
|
| Western Blot |

Various whole cell lysates were separated by 12% SDS-PAGE, and the membrane was blotted with anti-Claudin 3 antibody
|
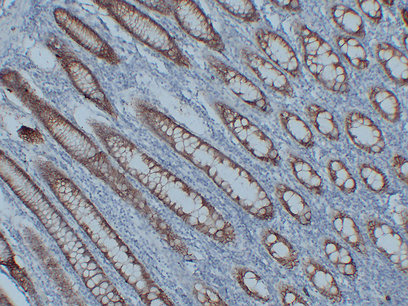
| Immunohistochemistry |

Immunohistochemical analysis of para?n-embedded Intestine
|
| Immunohistochemistry |

Immunohistochemical analysis of para?n-embedded Colon
|
|
| |
|
| Source |
Synthesized peptide derived from human Claudin 3 AA range: 150-220 |
| Specificity |
This antibody detects endogenous levels of Claudin 3 protein. |
| Storage |
Store at -20°C. Stable for one year from the date of shipment. |
| Concentration |
1mg/ml in PBS, pH 7.4, containing 0.02% sodium azide and 50% glycerol. |
| Dilutions |
WB 1:500-2,000; IHC 1:200-1,000; IF 1:100-500; ELISA 1:1,000 -5,000
(Optimal dilutions should be determined by the end user)
|
|
| |
|
| CLDN3 ; C7orf1 ; CPETR2 ; Claudin-3 ; Clostridium perfringens enterotoxin receptor 2 ; CPE-R 2 ; CPE-receptor 2 ; Rat ventral prostate.1 protein homolog ; hRVP1 |
| |
|
|
|
|
| Size: |
50μL ¥1000 100μL ¥1800 |
|
| New Product: |
|
|
|
| 直接下单: |
|
立即下单
|
|